ビューティフィル フロー プラス
BEAUTIFIL Flow Plus X
垂れにくい!「ペースト性状」
垂直(ペースト排出60秒後)
ゼロフローの特⻑
⼆級窩洞の隔壁に「形態維持性」
施術ステップ
FEATURE 1
操作性
切れが良く、レベリング性にすぐれたペースト性状
「ビューティフィル フロー プラス X」は、切れが良く、レベリング性にすぐれたペースト性状に設計しています。
そのためイメージ通りの的確な充填が可能です。特に超低流動タイプのF00は、インスツルメント等での解剖学的形態の回復が容易で、隆線や咬頭の再現に便利です。
※松⾵ニードルチップ(Thin Wall 20G)を使用しています。
FEATURE 2
⾼研磨性
-
すぐれた表⾯滑沢性と研磨性
未重合層の除去のみで艶が発現するほど、表⾯滑沢性にすぐれており、研磨性も良好です。
ビューティフィル フロー プラス X(F03)
光重合後、綿球を⽤いて未重合層を除去 -
ブラッシングでも艶が発現
患者さまの治療後も、⻑期的に艶が持続します。
ビューティフィル フロー プラス X(F00)
#320耐⽔研磨紙(ホワイトポイント相当)にて
研磨後、
⻭ブラシでブラッシング
ジンジバ色を
ラインアップ!
審美修復の新しい選択肢。
複雑な症例も、シンプルな操作で美しく。
審美修復が可能
色調
- ダークピンク(G-DP)
- ライトピンク(G-LP)
- ブラウン(G-Br)
歯肉付近の審美修復に適した自然な色調を再現する材料です。
高い操作性と耐久性を備え、歯肉との調和を重視した仕上がりが可能です。

露出した根面に
- 5級修復(歯頸部う蝕、根面う蝕、楔状欠損)
- 露出又は変色により審美障害をきたした歯頚部の被覆及び
審美回復

ビューティフィル フロー プラス X ジンジバ色とビューティフィル Ⅱ ジンジバは同じ色調設計です。
すぐれた高研磨性
短時間の研磨で光沢が発現
弊社従来品(フロアブルタイプ)

ビューティフィル フロー プラス X

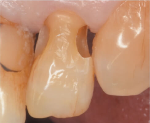
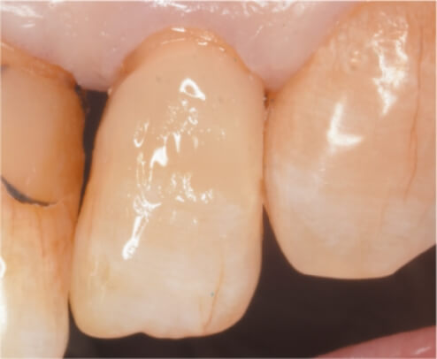
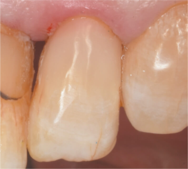
歯頚部の修復症例

歯頚部近遠心にう蝕が認められる

う蝕を除去するために切削拡大

う蝕を除去し終えると、遠心が一部
歯肉縁下に達している

歯頚部近くまで、ビューティフィル
フロー プラス X (色調:A3)を充填

歯肉圧排

研磨後、充填した箇所が1〜2mm程度レッドシフトすることで歯肉色を反映し単一色よりもさらに調和の取れた色調となっている

ナノ S-PRG フィラーを採用
S-PRG フィラーとは…
S-PRGフィラーとは、松風が独自開発した口腔ケア、歯科治療に用いる歯科関連材料に応用可能な3層構造のバイオアクティブガラスフィラーで、フッ化物イオンだけでなく6種類のイオン="マルチイオン"をリリース&リチャージし、抗プラーク、エナメル質脱灰抑制、酸中和といったバイオアクティブ効果を発揮します。
バイオアクティブな3つの特長
マルチイオンのリリース&チャージによる⼤きな3つの特⻑として下記が報告されています。
-
抗プラーク
プラーク形成しにくい環境を維持し続ける
-
エナメル質脱灰抑制
歯の再石灰化を強力にサポート
-
酸中和
細菌が出す「酸」に耐えやすい状態をつくる
抗プラーク(学会報告)
S-PRGフィラー配合コンポジットレジン(ビューティフィル Ⅱ等)の表⾯はだ液と接触することによって、マテリアルフィルム層ができ、これがコンポジットレジン表⾯への細菌の付着及び増殖を抑制し、成熟したプラークを形成しにくくすると報告されています。また、この層はブラッシング等により脱離するものの、だ液との接触によって再形成され、持続的にプラーク形成を抑制するといわれています。
⼝腔内におけるプラーク形成状況の観察
(24時間ブラッシングなし)
※参考:朝⽇⼤学 歯学部⻭科保存学分野/第117回〜123回⽇本⻭科保存学会報告
⾊調
ビューティフィル フロー プラス Xは「ビューティフィルシリーズ」と同じ⾊調‧透明性に統⼀しています。
これらが混在する症例やリペア時においても審美的な修復が可能です。
ジンジバ色
ユニバーサルシェードライン
あらゆる部位における単層充填⽤
オペークシェードライン
背景⾊の影響を受けやすい部位⽤
エナメルシェードライン
透明度が必要な充填⽤
特殊⾊
特殊な⽤途や部位への充填⽤
- ‧MI(ミルキー):乳⻭の充填修復に
- ‧BW(ブリーチングホワイト):ホワイトニング処置後の充填に
- ‧CV(サービカル):⻭頸部の修復に
O:オペーク
BW:ブリーチングホワイト
Inc:インサイザル
MI:ミルキー
CV:サービカル
※実物とは⾊調が異なる場合があります。
-
ビューティフィル フロー プラス X F00
- ・2.2g
- ・松風 Pニードルチップ 5個付
- ・2.2g×3本
- ・松風 Pニードルチップ 25個付
※3本⼊の⾊調はA2、A3のみです。
※ジンジバ色はF00のみの販売となります。 -
ビューティフィル フロー プラス X F03
- ・2.2g
- ・松風 Pニードルチップ 5個付
- ・2.2g×3本
- ・松風 Pニードルチップ 25個付
※3本⼊の⾊調はA2、A3のみです。
| 販売名 | ⼀般的名称 | 承認‧認証‧届出番号 | |||
|---|---|---|---|---|---|
| 販売名 | ビューティフィル フロー プラス X | ⼀般的名称 | ⻭科充填⽤コンポジットレジン | 承認‧認証‧届出番号 | 管理医療機器 医療機器認証番号 229AFBZX00047000 |
