口腔内の環境維持に
「マテリアルケア」というアプローチ
※第3の口腔ケア:セルフケアやプロフェッショナルケアに次ぐ、第3の観点「マテリアルケア」として口腔内環境の健全化をサポート
バイオアクティブ素材・S-PRGフィラーを配合した歯科材料・口腔ケア材料の総称Giomer(ジャイオマー)
フッ化物イオンをはじめとする6種のイオン=“マルチイオン”をリリース&リチャージすることで口腔内環境の健全化と歯の延命に寄与します。

Features
口腔内環境の健全化と歯の延命に寄与するGiomer3つの特長
マルチイオンのリリース&リチャージにより、抗プラーク・エナメル質脱灰抑制・酸中和といった3つの特長を発現。バイオアクティブな作用で口腔内の環境の健全化と歯の延命に寄与します。

抗プラーク

エナメル質脱灰抑制

酸中和
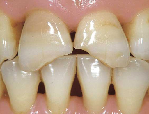
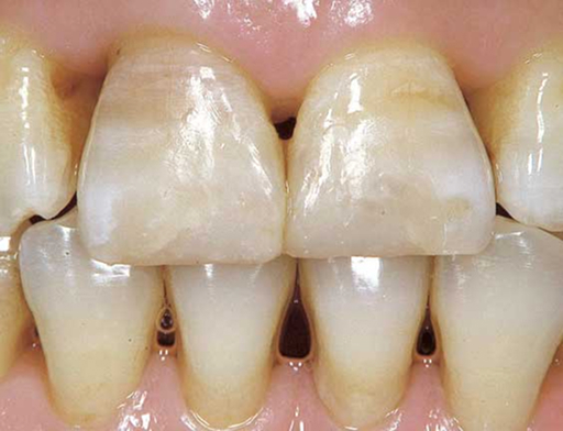
S-PRGフィラー配合のコンポジットレジン「ビューティフィルⅡ」の長期臨床経過例
-

充填前
-

充填直後
〈写臭提供〉 貞光 謙一郎 先生(貞光歯科医院) -

5年経過
エビデンスに基づいた歯科材料
学術誌Natureのグループ誌
SCIENTIFIC REPORTにも研究論文が掲載。
う蝕の原因菌であるStreptococcus mutans への抑制効果やエナメル質の脱灰抑制へのエビデンスが示されました。


Giomer/S-PRGフィラーの研究報告は年々増加しています。世界中の研究機関による論文をカテゴリ別にご紹介します。
独自開発素材のS-PRGフィラー
S-PRGフィラーは独自開発されたバイオアクティブ素材です。6種類のイオンがリリースされ、その作用により口腔内環境の健全化が期待されます。


豊富な製品群でさまざまなアプローチが可能
歯科診療のあらゆる分野にプロダクトツリーを展開。そのエビデンスは年々増えつつあり、新しい製品群においても応用・探索に関する研究成果が報告されています。これからも、ますます製品群が拡充される予定です。

Products
日常の口腔ケアや歯科治療のさまざまなステージでお使いいただける幅広い製品をラインアップ
審美領域歯の色調を改善
保存領域歯の欠損部を審美的・機能的に回復
-
ビューティフィル ユニシェード フロー
フッ素徐放性コンポジットレジン

-
ビューティフィル ユニシェード
フッ素徐放性コンポジットレジン

-
ビューティフィル フロー プラスX
フッ素徐放性コンポジットレジン

-
ビューティフィル E ポステリア
臼歯部用フッ素徐放性コンポジットレジン(健保適用外)

-
ビューティフィル Ⅱ
フッ素徐放性コンポジットレジン

-
ビューティフィルⅡ ジンジバ
前臼歯対応フッ素徐放コンポジットレジン

-
ビューティフィル バルク
臼歯部充填修復用コンポジットレジン

-
ビューティフィル バルク フロー
臼歯部充填修復用コンポジットレジン

-
ビューティフィル フロー
フッ素徐放性 フロアブルコンポジットレジン

-
ビューティフィル オペーカー
フッ素徐放性 コンポジットレジンオペーカー

-
フルオロボンドⅡ
フッ素徐放性ボンディング材

-
フルオロボンド シェイクワン
フッ素徐放性 フロアブルコンポジットレジン

-
ビューティフィル ネクスト
前臼歯対応フッ素徐放性コンポジットレジン

-
ビューティフィルⅡ LS
フッ素徐放性コンポジットレジン

-
PRGコンポグロス キット
コンポジットレジン最終仕上げ用研磨ペースト

補綴領域歯全体を審美的・機能的に回復
予防領域口腔内環境の健全化をサポート
小児領域子供の歯の予防処置・治療
矯正領域歯列の矯正
Giomer user INTERVIEW
導入事例
実際にGiomer製品を導入されている歯科医院様のお声を紹介しています。
バイオアクティブ機能の実感や操作感について伺いました。
Study Session
Giomer勉強会も開催中!
Giomer/S-PRGフィラーのバイオアクティブ効果とその応用について、医院様へご訪問の上、実験などのミニハンズオンを含め詳細にご紹介させていただくプログラムです。
